-
Cuban tourism in crisis; visitors repelled by fuel, power shortages
-
Liverpool set for Jacquet deal, Palace sign Strand Larsen on deadline day
-
FIFA president Infantino defends giving peace prize to Trump
-
Trump cuts India tariffs, says Modi will stop buying Russian oil
-
Borthwick backs Itoje to get 'big roar' off the bench against Wales
-
Twenty-one friends from Belgian village win €123mn jackpot
-
Mateta move to Milan scuppered by medical concerns: source
-
Late-January US snowstorm wasn't historically exceptional: NOAA
-
Punctuality at Germany's crisis-hit railway slumps
-
Gazans begin crossing to Egypt for treatment after partial Rafah reopening
-
Halt to MSF work will be 'catastrophic' for people of Gaza: MSF chief
-
Italian biathlete Passler suspended after pre-Olympics doping test
-
Europe observatory hails plan to abandon light-polluting Chile project
-
Iran president orders talks with US as Trump hopeful of deal
-
Uncertainty grows over when US budget showdown will end
-
Oil slides, gold loses lustre as Iran threat recedes
-
Russian captain found guilty in fatal North Sea crash
-
Disney earnings boosted by theme parks, as CEO handover nears
-
Sri Lanka drop Test captain De Silva from T20 World Cup squad
-
France demands 1.7 bn euros in payroll taxes from Uber: media report
-
EU will struggle to secure key raw materials supply, warns report
-
France poised to adopt 2026 budget after months of tense talks
-
Latest Epstein file dump rocks UK royals, politics
-
Arteta seeks Arsenal reinforcement for injured Merino
-
Russia uses sport to 'whitewash' its aggression, says Ukraine minister
-
Chile officially backs Bachelet candidacy for UN top job
-
European stocks rise as oil tumbles, while tech worries weigh on New York
-
England captain Itoje on bench for Six Nations opener against Wales
-
Rahm says golfers should be 'free' to play where they want after LIV defections
-
More baby milk recalls in France after new toxin rules
-
Rosenior will not rush Estevao return from Brazil
-
Mercedes ready to win F1 world title, says Russell
-
Germany hit by nationwide public transport strike
-
Barca coach Flick 'not happy' with Raphinha thigh strain
-
WHO chief says turmoil creates chance for reset
-
European stocks rise as gold, oil prices tumble
-
Rink issues resolved, NHL stars chase Olympic gold at Milan
-
S. Korea celebrates breakthrough K-pop Grammy win for 'Golden'
-
Rodri rages that officials 'don't want' Man City to win
-
Gaza's Rafah crossing makes limited reopening after two-year war
-
African players in Europe: Ouattara dents Villa title hopes
-
Liverpool beat Chelsea to Rennes defender Jacquet - reports
-
S. Korea celebrates breakthrough Grammy win for K-pop's 'Golden'
-
Trump says US talking deal with 'highest people' in Cuba
-
Trump threatens legal action against Grammy host over Epstein comment
-
Olympic Games in northern Italy have German twist
-
Bad Bunny: the Puerto Rican phenom on top of the music world
-
Snapchat blocks 415,000 underage accounts in Australia
-
At Grammys, 'ICE out' message loud and clear
-
Dalai Lama's 'gratitude' at first Grammy win
| SCS | 0.12% | 16.14 | $ | |
| CMSC | -0.04% | 23.75 | $ | |
| RIO | 1.4% | 92.325 | $ | |
| CMSD | 0.15% | 24.085 | $ | |
| AZN | -1.86% | 186.965 | $ | |
| RBGPF | 0.12% | 82.5 | $ | |
| BTI | 0.57% | 61.025 | $ | |
| NGG | -1.03% | 84.4 | $ | |
| GSK | 1.42% | 52.345 | $ | |
| BCC | 1.28% | 81.86 | $ | |
| RYCEF | 4.19% | 16.7 | $ | |
| BCE | -0.3% | 25.783 | $ | |
| JRI | 0.53% | 13.15 | $ | |
| RELX | -0.75% | 35.535 | $ | |
| BP | -0.37% | 37.74 | $ | |
| VOD | 1.88% | 14.93 | $ |
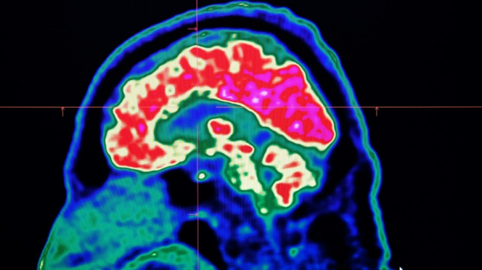
What are all these microplastics doing to our brains?
Tiny shards of plastic called microplastics have been detected accumulating in human brains, but there is not yet enough evidence to say whether this is doing us harm, experts have said.
These mostly invisible pieces of plastic have been found everywhere from the top of mountains to the bottom of oceans, in the air we breathe and the food we eat. They have also been discovered riddled throughout human bodies, inside lungs, hearts, placentas and even crossing the blood-brain barrier.
The increasing ubiquity of microplastics has become a key issue in efforts to hammer out the world's first plastic pollution treaty, with the latest round of UN talks being held in Geneva next week.
The effects that microplastics and even smaller nanoplastics have on human health is not yet fully understood, but researchers have been working to find out more in this relatively new field.
The most prominent study looking at microplastics in brains was published in the journal Nature Medicine in February.
The scientists tested brain tissue from 28 people who died in 2016 and 24 who died last year in the US state of New Mexico, finding that the amount of microplastics in the samples increased over time.
The study made headlines around the world when the lead researcher, US toxicologist Matthew Campen, told the media that they detected the equivalent of a plastic spoon's worth of microplastics in the brains.
Campen also told Nature that he estimated the researchers could isolate around 10 grammes of plastic from a donated human brain -- comparing that amount to an unused crayon.
- Speculation 'far beyond the evidence' -
But other researchers have since urged caution about the small study.
"While this is an interesting finding, it should be interpreted cautiously pending independent verification," toxicologist Theodore Henry of Scotland's Heriot-Watt University told AFP.
"Currently, the speculation about the potential effects of plastic particles on health go far beyond the evidence," he added.
Oliver Jones, a chemistry professor at Australia's RMIT University, told AFP there was "not enough data to make firm conclusions on the occurrence of microplastics in New Mexico, let alone globally".
He also found it "rather unlikely" that brains could contain more microplastics than has been found in raw sewage -- as the researchers had estimated.
Jones pointed out the people in the study were perfectly healthy before they died, and that the researchers acknowledged there was not enough data to show that the microplastics caused harm.
"If (and it is a big if in my view) there are microplastics in our brains, there is as yet no evidence of harm," Jones added.
The study also contained duplicated images, the neuroscience news website The Transmitter has reported, though experts said this did not affect its main findings.
- 'Cannot wait for complete data' -
Most of the research into the effects microplastics have on health has been observational, which means it cannot establish cause and effect.
One such study, published in the New England Journal of Medicine last year, found that microplastics building up in blood vessels was linked to an increased risk of heart attack, stroke and death in patients with a disease that clogs arteries.
There have also been experiments carried out on mice, including a study in Science Advances in January which detected microplastics in their brains.
The Chinese researchers said that microplastics can cause rare blood clots in the brains of mice by obstructing cells -- while emphasising that the small mammals are very different to humans.
A review by the World Health Organization in 2022 found that the "evidence is insufficient to determine risks to human health" from microplastics.
However many health experts have cited the precautionary principle, saying the potential threat microplastics could pose requires action.
A report on the health risks of microplastics by the Barcelona Institute for Global Health published this week ahead of the treaty talks said that "policy decisions cannot wait for complete data".
"By acting now to limit exposure, improve risk assessment methodologies, and prioritise vulnerable populations, we can address this pressing issue before it escalates into a broader public health crisis," it added.
The amount of plastic the world produces has doubled since 2000 -- and is expected to triple from current rates by 2060.
O.Bulka--BTB