-
'They looked like me': Why Arsenal became Africa's club
-
South Koreans gear up to roar on football team from rival North
-
Taiwan welcomes Paraguay leader as China ramps up pressure
-
Stocks fall as US-Iran clashes spark peace talks fears
-
Japan confirms year's first fatal bear attack, two more suspected
-
Indonesia volcanic eruption kills three hikers: officials
-
Caged and fed 'cookies': Rescuing Armenia's captive bears
-
Japan baseball mulls punishments for dangerous swings after umpire hit
-
Copa Libertadores match in Colombia abandoned after crowd trouble
-
Toyota sees profit drop as US tariffs, Mideast bite
-
Child deaths mount from Bangladesh measles outbreak
-
Eurovision: how it works
-
Former China Eastern boss charged with bribery
-
Thunder top LeBron and Lakers, Pistons down Cavs
-
Wobbling Wolfsburg face uphill battle against Bayern
-
History-chasing Barca eye title party in Liga Clasico
-
Inside the jails where Russia breaks Ukraine prisoners 'like dogs'
-
Oil jumps, stocks fall as US-Iran clashes spark peace talks fears
-
Malaysia plans cloud seeding for drought-hit 'rice bowl'
-
Where are the flash points in next week's Trump-Xi talks?
-
'No medicine for my son': Sudanese struggle to survive in new war zone
-
North Korea to deploy new artillery along border with South
-
EU monitor says sea temperatures near all-time highs as El Nino looms
-
Pistons hold off Cavs to take 2-0 NBA series lead
-
Leo marks one year as pope in Pompeii, Naples
-
In big man US football league, guys score a different kind of goal
-
Trump heads for Xi summit overshadowed by Iran war
-
New York governor orders US immigration agents to unmask
-
Arsenal sense Premier League glory as Spurs eye safety
-
Pitch for World Cup final installed at US stadium
-
IS-linked Australian women charged with keeping slave in Syria
-
Venezuela admits death of political prisoner in custody nearly one year later
-
Lee leads by one at LPGA Mizuho Americas Open
-
Hot-putting McCarty seizes PGA lead at Quail Hollow
-
CPJ demands progress on US probe of journalist Abu Akleh killing, four years on
-
'Elitist' World Cup leaves Mexican soccer family on sidelines
-
Palace overcome Shakhtar to reach historic Conference League final
-
Watkins salutes Emery after Villa reach Europa final
-
AI actors not eligible for Golden Globes, say organizers
-
Kuebler brace sends Freiburg past Braga into Europa League final
-
Rayo down Strasbourg in Conference League to set up first European final
-
Villa crush Forest to reach Europa League final against Freiburg
-
Brazil's Lula and Trump hail positive talks after rocky relations
-
Shakira teases new World Cup song
-
Palace beat Shakhtar to reach first European final
-
Rail fare to World Cup final stadium is cut ... to $105
-
Global stocks mostly fall as US rally shows signs of fatigue
-
Sabalenka, champion Paolini open Italian Open accounts
-
Trump gives EU until July 4 to ratify deal or face tariff hike
-
30 passengers left hantavirus ship in Saint Helena: cruise operator
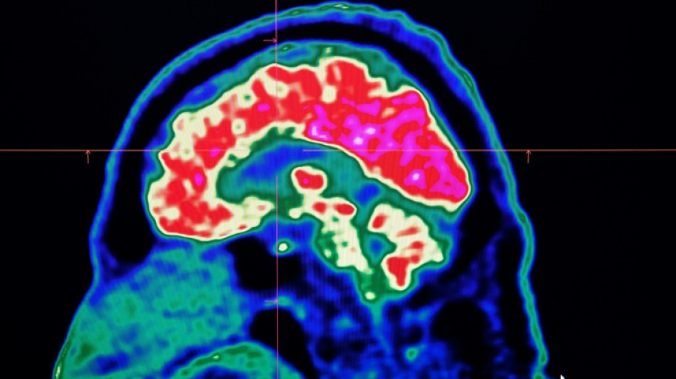
Surging nervous system disorders now top cause of illness: study
Conditions affecting the nervous system -- such as strokes, migraines and dementia -- have surged past heart disease to become the leading cause of ill health worldwide, a major new analysis said on Friday.
More than 3.4 billion people -- 43 percent of the global population -- experienced a neurological condition in 2021, far more than had previously been thought, the analysis found.
The study was carried out by hundreds of researchers led by the US-based Institute for Health Metrics and Evaluation (IHME), which has become a global reference for health statistics.
Lead study author Jaimie Steinmetz of the IHME said the results showed that nervous system conditions are now "the world's leading cause of overall disease burden".
Cases of these conditions have soared by 59 percent in the last three decades, she said, with the increase mainly driven by the fact that the world's population was ageing and growing fast.
The researchers looked at how 37 different neurological conditions affected ill health, disability and premature death across 204 countries and territories from 1990 to 2021.
This data was used to estimate how many years of healthy life were lost to each condition, called disability-adjusted life years (DALYs).
More than 443 million years of healthy life were lost to nervous system disorders globally in 2021, an 18-percent increase from 1990, the study found.
However, if the population's age and growing size was adjusted for, DALYs and deaths from these conditions actually fell by around a third, the researchers said.
Stroke, which was previously counted as a heart disease, was by far the worst neurological condition analysed, accounting for 160 million years of healthy life lost.
It was followed by a form of brain damage called neonatal encephalopathy, migraine, dementia including Alzheimer's disease, nerve damage from diabetes, meningitis and epilepsy.
Cognitive impairment from Covid-19 ranked 20th.
The main reason that nervous system conditions surpassed cardiovascular disease in the latest analysis was a recent World Health Organization classification change that moved stroke into the neurological category, Steinmetz told AFP.
The massive number of healthy years lost from these conditions was partly because several can kill children under five, such trauma during birth leading to neonatal encephalopathy, asphyxia or meningitis, she said.
"Because deaths occur at a young age, this creates a large contribution to years of life lost," she added.
Children accounted for nearly a fifth of all healthy years lost, the study found.
- 'Growing very fast' -
More than 11 million people died from the 37 neurological conditions in 2021, according to the study in The Lancet Neurology journal.
However cardiovascular disease remained the leading cause of death, killing 19.8 million people worldwide in 2022, the IHME said last year.
The most common neurological disorders were tension headaches and migraines.
The quickest-growing condition was nerve damage called diabetic neuropathy from soaring cases of diabetes.
Most of these conditions have no cure.
But there are ways to lessen the risk, including reducing rates of high blood pressure, diabetes and alcohol consumption, the researchers said.
They called for much more to be done to prevent, treat and rehabilitate the disorders, which disproportionately affect poorer countries.
"The worldwide neurological burden is growing very fast and will put even more pressure on health systems in the coming decades," warned study co-author Valery Feigin.
O.Krause--BTB