-
Una reconocida presentadora de EEUU suplica por la vida de su madre a los secuestradores
-
Ucrania, Rusia y EEUU prosiguen sus negociaciones de paz en Emiratos Árabes Unidos
-
Fin de la alerta roja en el sur de España, una mujer desaparecida por el temporal
-
Retornar o no a Gaza, el dilema de los palestinos refugiados en Egipto
-
Ucrania, Rusia y EEUU prosiguen sus negociaciones de paz en Emiratos Árabes
-
El este de Cuba se queda sin electricidad tras una avería
-
Expira el último tratado de no proliferación nuclear entre EEUU y Rusia
-
Cantante Barry Manilow pospone residencia en Las Vegas para tratamiento por cáncer
-
Policía de Uruguay frustra un plan para robar un banco a través de un túnel
-
Víctimas de tragedia medioambiental en Brasil esperan justicia por "un crimen muy grande"
-
EEUU anuncia el retiro "inmediato" de 700 agentes migratorios de Minesota
-
Xi pide a Trump "respeto mutuo" y elogia el vínculo con Putin
-
Rusia declara que "ya no está ligada" al tratado de desarme nuclear Nuevo START con EEUU
-
Chiquito Malo, Mordisco y Pablito: los capos del narco en la mira de Colombia y Trump
-
Tras Elon Musk, el propietario de Telegram carga contra Pedro Sánchez por sus planes para las redes sociales
-
Condenado a cadena perpetua el hombre que trató de matar a Trump en Florida en 2024
-
Panamá rechaza la amenaza de China por la anulación del contrato portuario en el canal
-
El jefe de la ONU alerta de un "colapso" humanitario en Cuba por la falta de petróleo
-
Panamá rechaza amenaza de China por anulación de contrato portuario en el canal
-
Las ventas de petróleo de México a Cuba sumaron 496 millones de dólares el año pasado
-
Piden la renuncia del jefe de los JJOO de 2028 por correos del caso Epstein
-
La policía de Uruguay frustra un plan para robar un banco a través de un túnel
-
Piden renuncia del jefe de los JJOO de 2028 por correos del caso Epstein
-
El restaurador borra el polémico fresco con el rostro de Giorgia Meloni
-
El curling da inicio a las pruebas deportivas en Milan Cortina 2026
-
La justicia argentina pide a EEUU la extradición de Nicolás Maduro
-
EEUU anuncia alianzas sobre tierras raras con UE, Japón y México
-
El Instituto Nobel aguarda la explicación de un exdirectivo sobre su relación con Epstein
-
La desinformación sobre el cáncer puede retrasar el tratamiento o causar la muerte
-
Al menos 25 muertos en ataques israelíes en Gaza, según reportes
-
Retira su acusación sin retractarse la mujer que denunció por abuso sexual a una figura de la izquierda española
-
Washington Post anuncia un plan de despidos "doloroso"
-
Washington Post anuncia plan de despidos "doloroso"
-
El Parlamento Europeo está dispuesto a retomar el examen del acuerdo comercial con EEUU
-
¿Centros de datos en órbita? Una posibilidad ante la demanda de energía para la IA
-
Víctimas de una tragedia medioambiental en Brasil esperan justicia de "un crimen muy grande"
-
El sector privado de EEUU genera menos empleos en enero de lo esperado
-
El enviado de Trump a Mineápolis anuncia el retiro "inmediato" de 700 agentes migratorios
-
Xi dice a Trump que las diferencias pueden resolverse con "respeto" y advierte sobre Taiwán
-
Italia afirma que desbarató ciberataques rusos contra los JJOO de Invierno
-
Principal cartel colombiano suspende conversaciones de paz tras pacto entre Trump y Petro
-
Una corte de Esuatini rechaza una demanda contra la acogida de migrantes expulsados de EEUU
-
"Si los iraníes quieren reunirse, estamos listos", dice Rubio
-
El asesino del ex primer ministro japonés Abe apela su sentencia a cadena perpetua, según medios
-
La ONU desplegará una misión con vistas a un alto el fuego en RD Congo
-
El principal cartel colombiano suspende las conversaciones de paz tras el pacto entre Trump y Petro
-
"La libertad está en la calle": una manifestación estudiantil reactiva la protesta silenciada en Venezuela
-
Buques de guerra de EEUU arriban a la capital de Haití
-
Imágenes falsas generadas por IA muestran a políticos junto a Epstein
-
EEUU relanza su acuerdo de exención arancelaria con una treintena de países de África
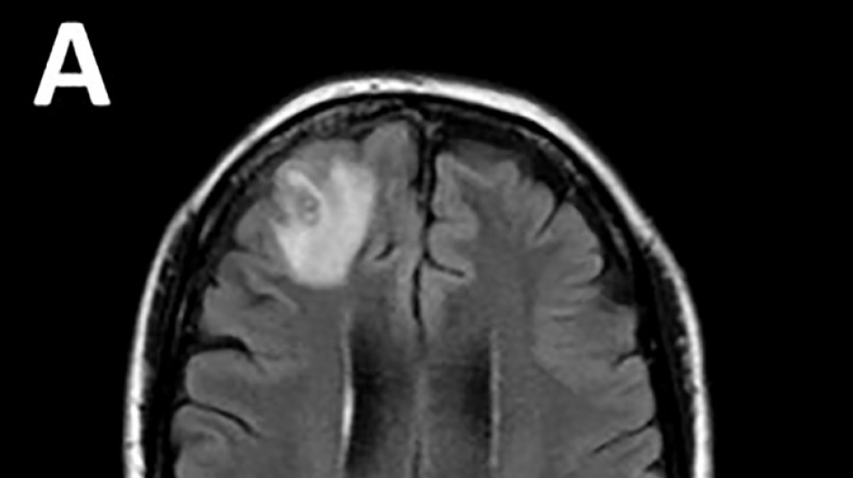
Médicos australianos hallan por primera vez una lombriz parásita en el cerebro de una mujer
Una lombriz parásita usualmente encontrada en serpientes fue retirada "viva y coleando" del cerebro de una mujer, algo que no se había visto en los registros médicos, informaron el martes médicos australianos.
Desconcertados, los médicos realizaron una resonancia magnética a una mujer australiana de 64 años después de que comenzara a sufrir lapsos de memoria y notaron una "lesión atípica" en el frente de su cerebro.
Era una lombriz de ocho centímetros llamada Ophidascaris robertsi, que según investigadores son parásitos comunes en canguros y pitones diamantina pero no en humanos.
"Este es el primer caso humano de una Ophidascaris en el mundo", afirmó el experto en enfermedades infecciosas Sanjaya Senanayake.
"Hasta donde sabemos, es también la primera vez que aparece en el cerebro de una especie de mamífero, humano o no", agregó.
Los investigadores creen que la mujer se infectó después de buscar arbustos comestibles cerca de su casa que podrían haber estado contaminados con larvas parasitarias diseminadas en las heces de las serpientes.
"Nunca es fácil o deseable ser el primer paciente del mundo para nada", indicó Senanayake.
"No puedo enfatizar más nuestra admiración por esta mujer que ha mostrado paciencia y coraje en el proceso", agregó.
El caso fue publicado en el diario Emerging Infectious Diseases y Senanayake anticipó que podrían detectarse más casos en otros países.
P.Anderson--BTB