-
Wall Street rassurée par la détente des prix du pétrole
-
Travail dissimulé: Foodora plaide coupable et échappe à un procès au pénal
-
Ski: Mikaela Shiffrin remporte le classement général de la Coupe du monde pour la 6e fois
-
Décharges sauvages: les microplastiques au coeur des débats du procès Nestlé
-
Le Sri Lanka mercredi au ralenti pour économiser sa précieuse énergie
-
Deux hommes arrêtés en lien avec l'attaque à Londres contre des ambulances de la communauté juive
-
L'Iran et Israël échangent des frappes, tractations en coulisses au Moyen-Orient
-
Dans un paysage politique très morcelé, le Danemark se cherche un gouvernement
-
Exposition au cadmium: l'alimentation cause principale, priorité à la décontamination des sols agricoles
-
Tourisme, agriculture, luxe, ...: les secteurs les plus touchés par la guerre au Moyen-Orient
-
Le Hezbollah revendique des attaques contre les troupes israéliennes, nouveaux raids israéliens contre le sud du Liban
-
Le président bélarusse en Corée du Nord pour sa première visite officielle
-
Maybach : Entre splendeur et tournant
-
En Ukraine, la guerre en Iran suscite une ruée vers l'or, version drones
-
Pourquoi l'or et l'argent ont chuté avec la guerre
-
Avec l'IA, les cyberattaques toujours plus efficaces et coûteuses, selon une étude
-
Avec l'IA, les cyberattaques toujours plus efficaces et coûteuses (étude)
-
La Bourse de Paris en nette hausse avec les espoirs de fin de guerre au Moyen-Orient
-
Le coût des pique-niques sous les cerisiers en fleurs au Japon a augmenté de 25% depuis 2020, selon un économiste
-
Le transporteur maritime chinois Cosco annonce une reprise partielle des réservations de fret vers le Golfe
-
Liban: "assiégés" par Israël, les derniers habitants de Tyr résistent
-
La BCE dispose d'un "éventail d'options" face au choc énergétique, dit Lagarde
-
Finies les vidéos divertissantes de Sora, OpenAI se recentre sur des outils professionnels
-
A Manille, les conducteurs de minibus en peine face à la flambée du diesel
-
La guerre au Moyen-Orient scelle le rapprochement entre la tech et l'armée américaine
-
Recycler les couches: le Japon veut en remettre une couche
-
À Mayotte, le conflit au Moyen-Orient inquiète les commerçants qui se fournissent à Dubaï
-
Nouvelles attaques au Moyen-Orient, les négociations Washington-Téhéran restent à confirmer
-
Au Kosovo, la quête des disparus dans l'espoir ténu de pouvoir fleurir une tombe
-
Le calvaire "le plus inhumain" des esclaves africains en quête de justice à l'ONU
-
Les Bourses européennes attendues dans le vert à l'ouverture
-
Objectif Lune: c'est reparti pour un tour
-
Pétrole: l'AIE "prête" à un autre déstockage "si nécessaire" après une demande du Japon
-
Russie: près de 400 drones ukrainiens abattus, un port touché
-
En Chine, la mode des animaux exotiques laisse le bien-être en suspens
-
Avant les barrages du Mondial-2026, des Azzurri devenus bien pâles
-
Nouvelles vagues d'attaques au Moyen-Orient, les négociations Washington-Téhéran restent à confirmer
-
K-pop: le concert du retour de BTS vu par 18,4 millions de personnes
-
Au moins 9 morts dans des raids israéliens contre le sud du Liban
-
Guerre au Moyen-Orient: Trump fait passer un plan de paix, Téhéran désserre l'étreinte sur Ormuz
-
Chili : le gouvernement Kast retire son soutien à la candidature de Michelle Bachelet à l'ONU
-
Meta déclaré responsable de mise en danger de mineurs par un tribunal du Nouveau-Mexique
-
Liban: Israël veut s'emparer d'une zone du sud, le Liban sévit contre l'ambassadeur d'Iran
-
Dans le vieux Delhi, l'inéluctable disparition des "havelis"
-
Le Pinot noir actuel était déjà cultivé en France au Moyen-Age
-
Le ministre de l'Economie français évoque "un nouveau choc pétrolier"
-
Moyen-Orient: les marchés mondiaux circonspects quant à la possibilité d'une trêve
-
L'économie française "percutée" par la guerre au Moyen-Orient, selon l'Insee
-
Venezuela: le chavisme est "affaibli" par Trump, dit l'opposante Maria Corina Machado à l'AFP
-
Adriana Karembeu visée par une enquête pour soustraction aux obligations parentales
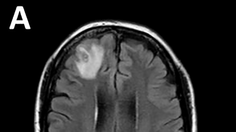
Un ver qui parasite les serpents découvert dans le cerveau d'une Australienne
Un ver rond, qui parasite généralement les serpents, a été découvert pour la première fois sur un être humain, extrait "vivant et se tortillant" du cerveau d'une Australienne lors d'une intervention chirurgicale, ont annoncé mardi des médecins australiens.
Les médecins ont découvert une "lésion atypique", grâce à un examen IRM, dans la partie frontale du cerveau de l'Australienne, âgée de 64 ans, qui souffrait de pertes de mémoire.
Il s'agissait d'un Ophidascaris robertsi, un ver rond de huit centimètres qui, selon les chercheurs, est un parasite des kangourous et des pythons, en Australie. Il parasite des animaux dans d'autres régions du monde, mais il n'avait encore jamais été détecté sur un être humain.
"Il s'agit du tout premier cas humain d'Ophidascaris décrit dans le monde", a déclaré le docteur Sanjaya Senanayake, spécialiste des maladies infectieuses.
"À notre connaissance, c'est également le premier cas impliquant le cerveau d'une espèce de mammifère, humaine ou autre", a-t-il précisé.
Cette découverte a fait l'objet d'un article dans la revue "Emerging Infectious Diseases".
Les scientifiques pensent que l'Australienne a été parasitée par des plantes comestibles, probablement contaminées par des larves présentes dans des excréments de serpents.
Le parasite, dont la "structure en forme de fil" est apparue sur les scanners cérébraux, a ensuite été identifié grâce à des tests ADN.
"Il n'est jamais facile ni souhaitable d'être le premier à être malade de quoi que ce soit au monde", a ajouté le Dr Senanayake, "je ne saurais trop exprimer notre admiration pour cette femme, qui a fait preuve de patience et de courage tout au long de ce processus."
Selon le Dr Senanayake, il est "probable que d'autres cas soient identifiés à l'avenir".
N.Fournier--BTB